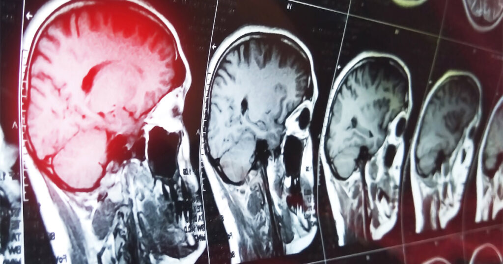
What Are the Types of Traumatic Brain Injuries Caused by a Car Accident?

Traumatic Brain Injuries (TBIs) are among the most serious outcomes of car accidents. They happen during serious crashes as well as seemingly minor ones. These injuries are classified differently, reflecting their cause and symptoms. If you believe that another party caused your TBI in a motor vehicle collision, you might be entitled to compensation. What […]